Costruzione e applicazione di protesi fisse
Ricostruzione denti danneggiati
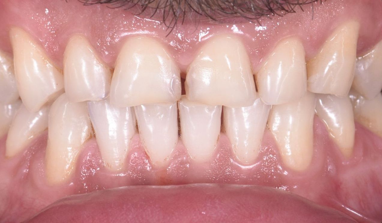
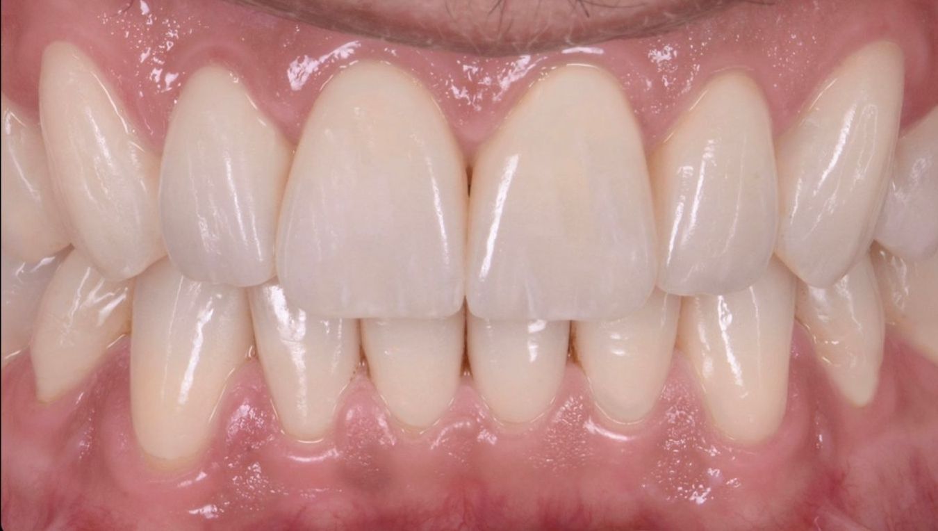
Il trattamento delle protesi fisse consiste nella ricostruzione di elementi dentali danneggiati attraverso l'utilizzo di corone o ponti in ceramica senza metallo nella zona sottostante. Questo tipo di trattamento viene utilizzato per ripristinare la funzionalità e l'estetica dei denti compromessi da carie, fratture o vecchie ricostruzioni.
Le fasi del processo di ricostruzione
Durante il processo di ricostruzione, le corone o i ponti vengono realizzati in due fasi. Prima dell'applicazione della corona definitiva in ceramica, al paziente viene applicato un manufatto provvisorio in resina. Questo manufatto ha il duplice scopo di proteggere i denti sottostanti e di permettere al paziente di verificare la corretta funzione delle nuove protesi prima di completare il trattamento.
Le protesi fisse offrono diverse caratteristiche vantaggiose. In primo luogo, il trattamento è completamente indolore grazie all'uso di anestesia locale durante la procedura. Inoltre, consentono di ottenere una dentatura fissa, che garantisce una migliore stabilità e supporto per i denti danneggiati.
Dal punto di vista estetico, le corone o i ponti in ceramica senza metallo possono essere modellati e colorati per assomigliare perfettamente ai denti naturali circostanti. Questo permette di ottenere un ripristino estetico ottimale, migliorando l'aspetto del sorriso.
Un altro vantaggio significativo delle protesi fisse è la loro durata nel tempo. Grazie alla resistenza e alla durevolezza della ceramica senza metallo, queste protesi possono durare molti anni se mantenute correttamente attraverso una buona igiene orale e regolari controlli dal dentista.
Usura dentale
L’usura dentale è fenomeno in forte crescita nella popolazione adulta ed è caratterizzata dal consumo delle superfici dei denti. Il dente colpito perde prima la sua parte più esterna minerale (lo smalto) e poi il suo nucleo interno (la dentina).
Possono essere colpiti singoli elementi dentali ma più spesso ne soffre l’intera dentatura.












